Dental Services
Cosmetic Dentistry & Smile Design
Veneers, whitening and composite bonding tailored to your facial features.
Cosmetic dentistry at EgoDent focuses on enhancing your smile while respecting natural tooth structure and long-term function. We use digital smile design, detailed photography and premium materials to plan predictable, minimally invasive treatments.
How treatment typically works
- Smile photography, shade mapping and discussion of your goals.
- Digital smile design and mock-up trials when appropriate.
- Minimally invasive tooth preparation or additive-only bonding technique.
- Placement of veneers or composite bonding with precision finishing.
- Long-term maintenance and periodic whitening top-ups.
Why patients choose EgoDent
- Custom porcelain veneers with natural translucency
- Composite bonding for conservative improvements
- Professional whitening supervised by dentists
- Digital smile previews and mock-ups
Before & After


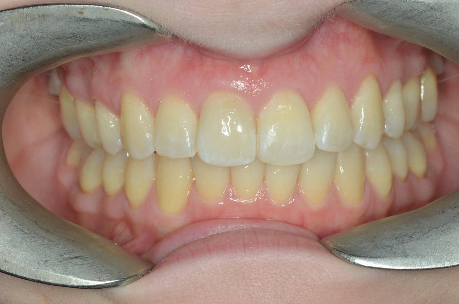
Cosmetic makeover case 1
Aesthetic enhancement using veneers, bonding and/or whitening.


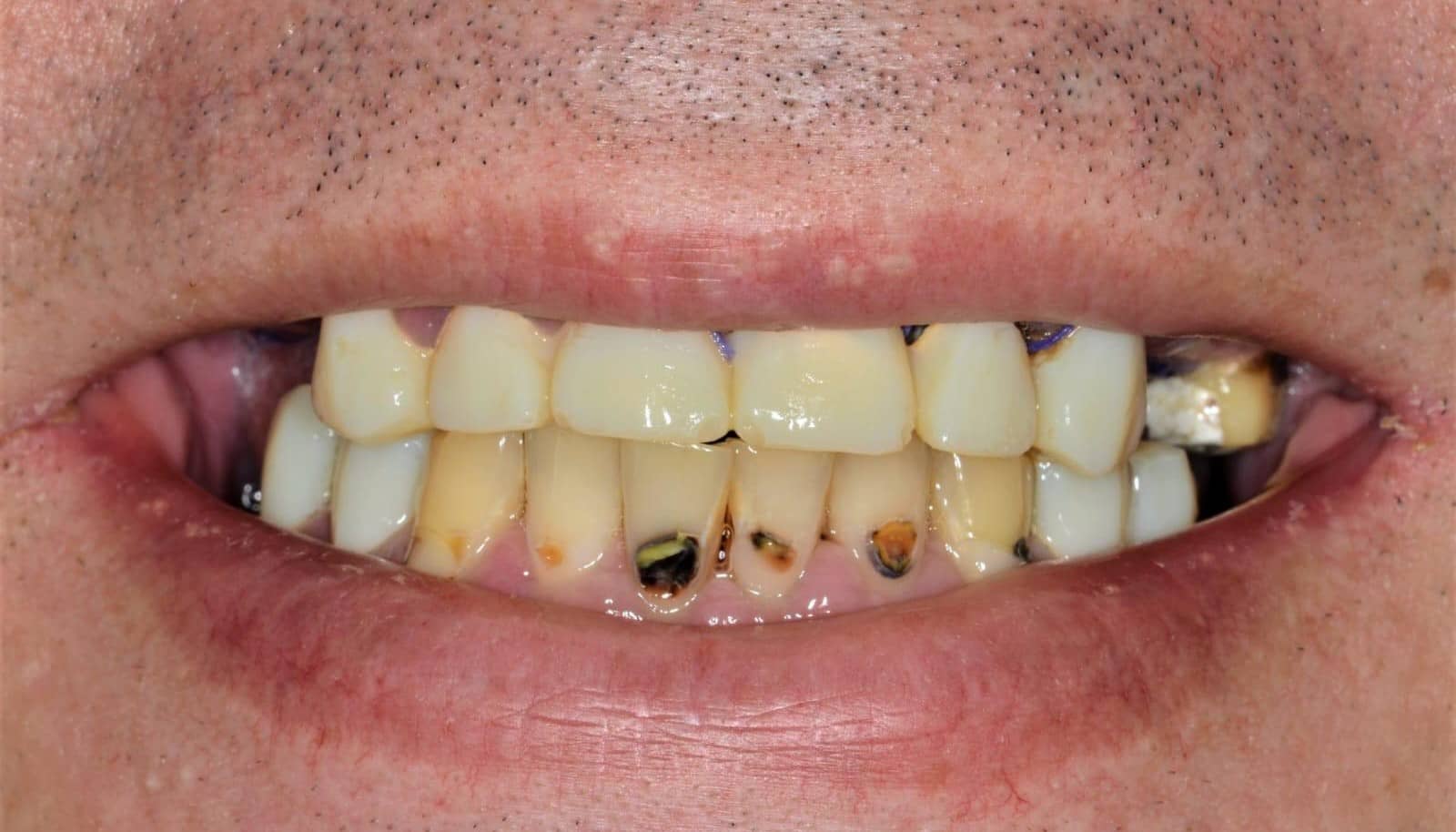
Cosmetic makeover case 2
Aesthetic enhancement using veneers, bonding and/or whitening.


Cosmetic makeover case 3
Aesthetic enhancement using veneers, bonding and/or whitening.
Request a Consultation
Leave your details and our patient coordinator will contact you shortly to discuss your cosmetic dentistry options.
Ready to discuss cosmetic dentistry? or call 02033 016323.
Book a consultation